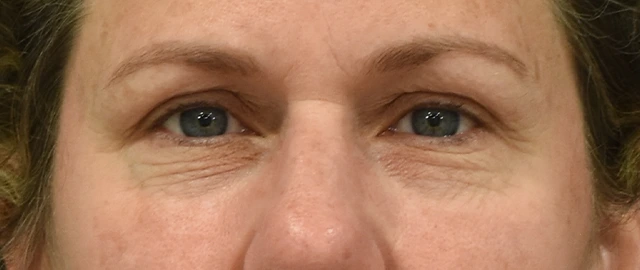
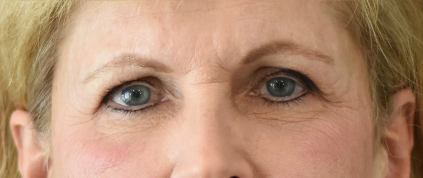
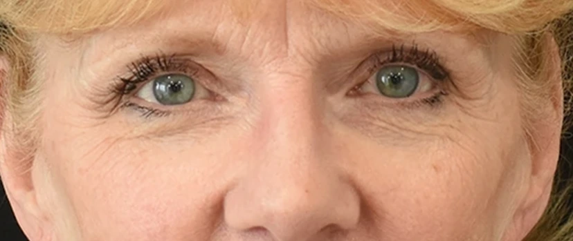
Brow Lift

Before & After Gallery

Contact Us